静岡市駿河区東新田4-11-16
054-258-7555
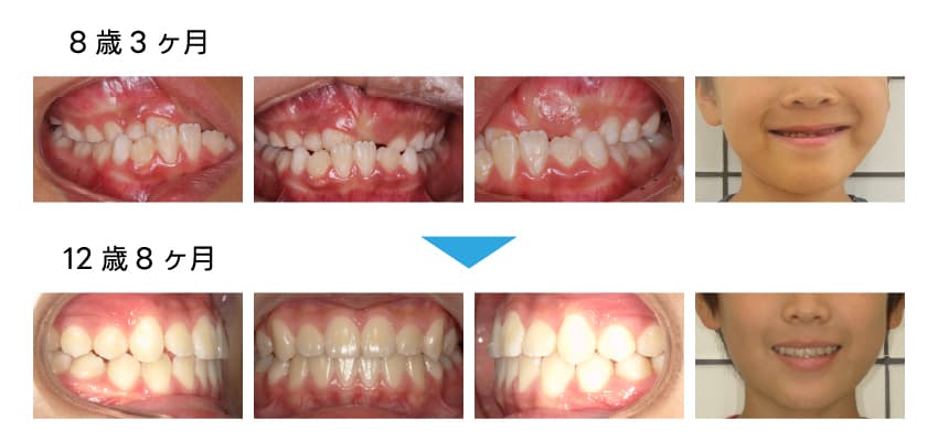
近年の調査では、4人のうち3人の子どもに不正咬合の問題があることが分かってきました。
通常、歯列不正と顎の発育の不調和は、大きな歯と小さな顎のアンバランスによるもので、遺伝的な問題があるとの理由から治療を先延ばしにされることが多く見うけられます。またそればかりでなく、抜歯の可能性も増えてしまいます。
しかし、最近の研究では不正咬合や顎顔面の発育が不足する主な原因は口呼吸、間違った舌の位置や飲み込み方、指しゃぶりなどの筋機能習癖とされ、これらの筋機能習癖は、顎顔面の発育を大きく左右することが分かりました。
つまりアレルギーや喘息、長期間の指しゃぶり、哺乳瓶やおしゃぶりの使用、態癖、姿勢による結果として歯列不正が生まれます。このように頬や舌、唇を含めたすべての筋肉の使い方は歯や顔の発育にとても大きな影響を与えます。
当院では、筋機能矯正治療(MRC治療)を取り入れています。
この治療では、日中1時間+夜間にマイオブレスの装着及び1日2回程度のアクティビティを行います。
マイオブレスは一般の矯正装置とは違い直接歯に力を加えて動かすものではありません。マイオブレスは正しい舌の位置や飲込み方の習得、そして鼻呼吸ができるように教えてくれる装置です。またアクティビティは舌・口・呼吸等のトレーニングであり、マイオブレスの働きを助けてくれます。
マイオブレスの装着とアクティビティを行うことにより、舌や頬、口の筋肉が改善され、結果として歯と顎の矯正を可能にしてくれます。

痛みが少ない

装置をつける時間が短い

咬み合わせや筋肉のバランスを整える

「出っ歯」
横から見たときに上の歯が出ている

「凸凹」
4人掛けの椅子に6人座っている状態

「受け口」
横から見たときに下の歯が出ている

「開咬」
奥歯は咬むけど前歯が閉じない

「過蓋咬合」
上の歯が下の歯に覆いかぶさっている
アクティビティでは、患者さんの状態に合わせて「舌の筋力を高め、舌の正しい位置を覚える」「お口の周りの筋力を高め、口唇の閉鎖を促す」といったトレーニングを組み合わせて進めていきます。

例1:スポットポジション
舌の先をつけておく正しい位置を覚えるトレーニングです。
正しいスポットの位置は、上の前歯の後ろにある切歯乳頭と呼ばれるプクッと盛 り上がったヒダのすぐ後ろです。スポットにスティック(木の棒など)をあて正しいスポットの位置を確認した後にスティックを外し、大きくお口を開けた状態で舌の先を丸まらないようにスポットの位置につけ5つ数えましょう。

例2:ポッピング
舌の筋力を高め、舌小帯を伸ばし舌を持ち上げる力を向上させるトレーニングです。
舌の先をスポットにつけて舌全体を上あごに吸い上げたあと、口を大きく開けて「ポン」と音を出します。この際、舌の先はスポットにつけ、舌の裏にあるヒダをできるだけ伸ばすようにしましょう。


マイオブレスは正しい舌の位置や、飲み込み方を習得するだけでなく鼻呼吸ができるように教えることができます。その結果改善された筋肉により、歯と顎の矯正を可能にしてくれます。自分の筋肉で歯や顎を矯正する装置です。
マイオブレスそのものが歯を動かし並べていくものではありません。改善された自分自身の舌や頬の筋肉の機能は、歯をきれいに並べるだけではなく、顔面の正しい発育を誘導し、好ましい顔ぼうが得られます。さらに、抜歯やブラケット治療の必要性も減少させることができるのです。
ただしマイオブレスは治療の一部として最も重要ですが、すべてではありません。マイオブレスの働きを助けるものとして、舌、口、呼吸のトレーニングがあります。毎日のマイオブレス装着時に実行することによって良好な治療結果を実現します。
✅ 舌が正しい位置にあること
✅ 口唇閉鎖
✅ 鼻呼吸の確立
✅ 正しい飲み込み方の習得

フィルター機能: 鼻毛や粘膜が空気中のゴミやウイルスをフィルターし、体内に入る有害物質を減少させます。これにより、アレルギーや風邪のリスクが低下します。
睡眠の質向上: 鼻呼吸をすることで、いびきが減少し、睡眠の質が向上します。口呼吸は睡眠中の呼吸を妨げるため、鼻呼吸に切り替えることでより良い睡眠が得られます。
免疫力の向上: 鼻呼吸は、体の免疫システムを強化し、病気に対する抵抗力を高めます。鼻から吸い込む空気は湿っており、体に優しい呼吸が可能です。
顔の形状改善: 鼻呼吸をすることで、顔の筋肉が適切に使われ、顔が引き締まり、美しい小顔効果が期待できます。
唾液の分泌促進: 鼻呼吸は唾液の分泌を促進し、口腔内の健康を保つのに役立ちます。唾液は歯を保護し、虫歯のリスクを減少させます。
必ずしも全ての目標が達成できるとは限りません。治療成功の鍵は、専任スタッフの指示従って歯並びを悪くしている習癖を改善するための、お子さんの努力と親御さんの協力です。
筋機能矯正治療の対象年齢は5歳~12歳とされていますが、早期介入することで育ち盛りのお子さんの健康と歯並びを改善します。
そして正しい口腔機能を獲得することで、生涯にわたる口腔健康と全身の健康増進につながる価値ある治療法と言えるでしょう。
歯並びの悩みや口腔機能に関する問題をお持ちの方はお気軽にご相談ください。

近年の調査では、4人のうち3人の子どもに不正咬合の問題があることが分かってきました。
通常、歯列不正と顎の発育の不調和は、大きな歯と小さな顎のアンバランスによるもので、遺伝的な問題があるとの理由から治療を先延ばしにされることが多く見うけられます。またそればかりでなく、抜歯の可能性も増えてしまいます。
しかし、最近の研究では不正咬合や顎顔面の発育が不足する主な原因は口呼吸、間違った舌の位置や飲み込み方、指しゃぶりなどの筋機能習癖とされ、これらの筋機能習癖は、顎顔面の発育を大きく左右することが分かりました。
つまりアレルギーや喘息、長期間の指しゃぶり、哺乳瓶やおしゃぶりの使用、態癖、姿勢による結果として歯列不正が生まれます。このように頬や舌、唇を含めたすべての筋肉の使い方は歯や顔の発育にとても大きな影響を与えます。
当院では、筋機能矯正治療(MRC治療)を取り入れています。
この治療では、日中1時間+夜間にマイオブレスの装着及び1日2回程度のアクティビティを行います。
マイオブレスは一般の矯正装置とは違い直接歯に力を加えて動かすものではありません。マイオブレスは正しい舌の位置や飲込み方の習得、そして鼻呼吸ができるように教えてくれる装置です。またアクティビティは舌・口・呼吸等のトレーニングであり、マイオブレスの働きを助けてくれます。
マイオブレスの装着とアクティビティを行うことにより、舌や頬、口の筋肉が改善され、結果として歯と顎の矯正を可能にしてくれます。
痛みが少ない

装置をつける時間が短い

咬み合わせや筋肉のバランスを整える






アクティビティでは、患者さんの状態に合わせて「舌の筋力を高め、舌の正しい位置を覚える」「お口の周りの筋力を高め、口唇の閉鎖を促す」といったトレーニングを組み合わせて進めていきます。
例1:スポットポジション

舌の先をつけておく正しい位置を覚えるトレーニングです。
正しいスポットの位置は、上の前歯の後ろにある切歯乳頭と呼ばれるプクッと盛 り上がったヒダのすぐ後ろです。スポットにスティック(木の棒など)をあて正しいスポットの位置を確認した後にスティックを外し、大きくお口を開けた状態で舌の先を丸まらないようにスポットの位置につけ5つ数えましょう。
例2:ポッピング

舌の筋力を高め、舌小帯を伸ばし舌を持ち上げる力を向上させるトレーニングです。
舌の先をスポットにつけて舌全体を上あごに吸い上げたあと、口を大きく開けて「ポン」と音を出します。この際、舌の先はスポットにつけ、舌の裏にあるヒダをできるだけ伸ばすようにしましょう。


マイオブレスは正しい舌の位置や、飲み込み方を習得するだけでなく鼻呼吸ができるように教えることができます。その結果改善された筋肉により、歯と顎の矯正を可能にしてくれます。自分の筋肉で歯や顎を矯正する装置です。
マイオブレスそのものが歯を動かし並べていくものではありません。改善された自分自身の舌や頬の筋肉の機能は、歯をきれいに並べるだけではなく、顔面の正しい発育を誘導し、好ましい顔ぼうが得られます。さらに、抜歯やブラケット治療の必要性も減少させることができるのです。
ただしマイオブレスは治療の一部として最も重要ですが、すべてではありません。マイオブレスの働きを助けるものとして、舌、口、呼吸のトレーニングがあります。毎日のマイオブレス装着時に実行することによって良好な治療結果を実現します。
✅ 舌が正しい位置にあること
✅ 口唇閉鎖
✅ 鼻呼吸の確立
✅ 正しい飲み込み方の習得

フィルター機能: 鼻毛や粘膜が空気中のゴミやウイルスをフィルターし、体内に入る有害物質を減少させます。これにより、アレルギーや風邪のリスクが低下します。
睡眠の質向上: 鼻呼吸をすることで、いびきが減少し、睡眠の質が向上します。口呼吸は睡眠中の呼吸を妨げるため、鼻呼吸に切り替えることでより良い睡眠が得られます。
免疫力の向上: 鼻呼吸は、体の免疫システムを強化し、病気に対する抵抗力を高めます。鼻から吸い込む空気は湿っており、体に優しい呼吸が可能です。
顔の形状改善: 鼻呼吸をすることで、顔の筋肉が適切に使われ、顔が引き締まり、美しい小顔効果が期待できます。
唾液の分泌促進: 鼻呼吸は唾液の分泌を促進し、口腔内の健康を保つのに役立ちます。唾液は歯を保護し、虫歯のリスクを減少させます。
必ずしも全ての目標が達成できるとは限りません。治療成功の鍵は、専任スタッフの指示従って歯並びを悪くしている習癖を改善するための、お子さんの努力と親御さんの協力です。
筋機能矯正治療の対象年齢は5歳~12歳とされていますが、早期介入することで育ち盛りのお子さんの健康と歯並びを改善します。
そして正しい口腔機能を獲得することで、生涯にわたる口腔健康と全身の健康増進につながる価値ある治療法と言えるでしょう。
歯並びの悩みや口腔機能に関する問題をお持ちの方はお気軽にご相談ください。

診療時間
| 月 | 火 | 水 | 木 | 金 | 土 | 日 | 祝 | |
| 9:00〜12:00 14:00〜18:00 | ◯ | ◯ | ◯ | / | ◯ | / | / | / |
| 9:00〜12:00 13:30〜17:00 | / | / | / | / | / | ◯ | / | / |
休診日:木曜・日曜・祝日
GW・年末年始休診あり
| 月 | 火 | 水 | 木 | 金 | 土 | 日 | ||||||||||||||
|---|---|---|---|---|---|---|---|---|---|---|---|---|---|---|---|---|---|---|---|---|
| ||||||||||||||||||||
| ||||||||||||||||||||
| ||||||||||||||||||||
| ||||||||||||||||||||
| ||||||||||||||||||||
9:00〜12:00/14:00〜18:00
9:00〜12:00/13:30〜17:00
手術日 9:00~12:00
休診日

〒421-0112
静岡市駿河区東新田4-11-16
TEL:054-258-7555
院長 八木亮一
診療時間
| 月 | 火 | 水 | 木 | 金 | 土 | 日 | 祝 | |
| 9:00〜12:00 14:00〜18:00 | ◯ | ◯ | ◯ | / | ◯ | / | / | / |
| 9:00〜12:00 13:30〜17:00 | / | / | / | / | / | ◯ | / | / |
休診日:木曜・日曜・祝日
GW・年末年始休診あり
| 月 | 火 | 水 | 木 | 金 | 土 | 日 | ||||||||||||||
|---|---|---|---|---|---|---|---|---|---|---|---|---|---|---|---|---|---|---|---|---|
| ||||||||||||||||||||
| ||||||||||||||||||||
| ||||||||||||||||||||
| ||||||||||||||||||||
| ||||||||||||||||||||
9:00〜12:00/14:00〜18:00
9:00〜12:00/13:30〜17:00
手術日 9:00~12:00
休診日

〒421-0112
静岡市駿河区東新田4-11-16
TEL:054-258-7555
院長 八木亮一